歯周病治療|
愛媛県松山市の歯医者
カナザキ歯科
愛媛県松山市の
歯医者・カナザキ歯科の
歯周病治療について

歯周病は、初期にはほとんど自覚症状がなく、気づかないうちに進行してしまう病気です。
放置すると歯を支える骨が徐々に失われ、最終的には歯を失う原因となることもあります。
そのため当院では、歯周病を「その場の症状を抑える治療」だけではなく、将来にわたって歯を守るための長期的な治療・管理が必要な病気と考え、診査・診断を重視した歯周病治療に取り組んでいます。
日本歯周病学会専門医・指導医が監修し、精密な診査・診断をもとに、患者さま一人ひとりの状態に応じた歯周病治療をご提案しています。
このページでは、愛媛県松山市の歯医者・カナザキ歯科が行う歯周病治療の考え方や流れについてご紹介します。
歯周病治療の
エキスパート
(専門医)

カナザキ歯科の歯周病治療は、「日本臨床歯周病学会認定医」と「日本歯周病学会専門医」と「日本歯周病学会指導医」のトリプルライセンスをもつ院長監修のもと治療を行なっています。
歯周病は、進行度や骨の状態、噛み合わせ、生活背景によって、同じ診断名であっても治療内容が大きく異なる病気です。
そのため当院では、「本当に残せる歯か」「今すべき治療は何か」を見極めることを最も重視し、専門的な視点から一人ひとりに適した治療計画を立案しています。
通常の歯周病治療はもちろん、骨の再生を目指す歯周組織再生療法や歯肉移植といった重度の歯周病治療、さらに歯肉の見た目や将来の安定を考えた審美・予防的な治療、治療後のメインテナンスまで、総合的に対応しています。
歯周病とは?原因や
症状について

歯周病は、歯と歯ぐきの境目に付着した細菌(プラーク)が原因で起こる慢性的な感染症です。
初期には自覚症状がほとんどなく、気づかないうちに進行し、歯を支える骨が失われてしまうこともあります。
原因や症状、進行の仕方が分かりにくいことも、この病気の特徴です。
歯ぐきの腫れや出血、口臭、歯のぐらつきなどが見られる場合もありますが、見た目の症状だけで進行の程度や必要な治療内容を判断することはできません。
また、お口の中だけにとどまらず、糖尿病や心臓・血管の病気など、全身の健康との関連も報告されています。
そのため、早期に状態を把握し、適切に管理することが重要です。
原因や進行段階、全身との関係、治療に対する一般的な考え方については、歯周病の解説ページで分かりやすくご紹介しています。
動画で見る歯周病
歯周病について、文章だけでは分かりにくいと感じる方のために、当院では歯周病の考え方や治療について、動画でも分かりやすくご紹介しています。
ご自身のペースで理解を深めたい方は、あわせてご覧ください。
【実は恐ろしい歯周病】
歯周病と糖尿病、
心筋梗塞、脳卒中との関係とは?
【歯周病の治し方】歯周病治療方法と
治療の流れを専門医が解説
【歯周病専門医が選ぶ】
歯周病に効く「歯ブラシ」
この歯本当に抜くの?③
【ひどい歯周病篇】
残せる歯 残せない歯
当院で行う
歯周病治療の流れ
歯周病治療は、症状のある歯だけを診るのではなく、お口全体の状態を確認しながら進めていきます。
当院では、以下のような流れで歯周病治療を行っています。
診査
レントゲン、口腔内写真、歯周組織検査(歯周ポケット測定など)を行い、現在のお口の状態を詳しく確認します。
歯周病は、見た目の症状だけでは進行の程度を正確に判断することができません。
そのため当院では、以下の点を重視して診査を行っています。

歯周ポケット検査を全顎で行う理由
歯周病は一部の歯だけでなく、お口全体に影響する病気です。全顎的に数値を確認することで、進行状況や治療の優先順位を把握します。
レントゲンだけでは分からないこと
レントゲンでは骨の状態は確認できますが、歯ぐきの炎症や歯周ポケットの深さまでは分かりません。複数の検査を組み合わせることで、より正確な診断が可能になります。
数値で管理する意味
歯周ポケットの深さなどを数値で記録することで、治療前後の変化を客観的に把握し、治療効果や今後の管理に活かします。
診断
診査で得られた検査結果をもとに、1本1本の歯について歯肉や骨の状態を総合的に診断し、治療の必要性や優先順位を整理していきます。

カンファレンス
複数の治療計画を立案し、様々な角度から治療方針を提案できるよう努めています。

コンサルティング
(患者様と治療方針を相談)
現状の問題点を説明し、複数の治療案をご提案します。
患者様の要望を伺い、患者様と相談しながら治療方針を決定します。

歯周基本治療
口腔清掃指導とスケーリング・ルートプレーニングを行います。再評価後に必要があれば歯周外科処置または、歯周再生療法で治療を行います。

メインテナンスへ移行
治療後は定期的なメンテナンスによって健康な状態を維持していきます。

歯周病治療では、治療の進行に伴い一時的に歯ぐきが下がったように感じたり、歯が動いているように感じる場合があります。
これらは治療過程で起こる変化であり、必要に応じて対策を行いながら治療を進めていきます。
こんなお悩み・
不安はありませんか?

- 歯ぐきから血が出ることがある
- 歯ぐきが腫れている、違和感が続いている
- 口臭が気になる、周囲に指摘されたことがある
- 歯が少し動いているように感じる
- 他院で治療を続けているが、なかなか改善しない
- 「抜歯が必要」と言われ、不安を感じている
これらは、歯周病が関係している可能性があります。
ただし、見た目の症状だけでは、進行の程度や必要な治療内容は判断できません。
当院では、症状のある歯だけを見るのではなく、お口全体の状態を丁寧に確認したうえで、「本当に今、何が必要なのか」を整理してお伝えしています。
歯科衛生士とともに
歯周病の改善を
サポートします

歯周病は、一度治療を行って終わりの病気ではありません。
治療後も、お口の状態に合わせたケアと管理を続けていくことが重要です。
カナザキ歯科では、歯科医師による診断・治療に加え、歯科衛生士が患者さま一人ひとりの状態に合わせて、歯周病の改善と維持を継続的にサポートしています。
歯科衛生士は、
- 歯ぐきの状態の確認
- 日常の歯磨きやケア方法のアドバイス
- 治療後の状態を保つための定期的な
管理
などを通じて、無理なく続けられる歯周病管理を大切にしています。
患者さまご自身が、お口の状態を理解し、「なぜこのケアが必要なのか」を納得しながら取り組めることが、歯周病の再発を防ぐために重要だと考えています。
カナザキ歯科の
歯周病治療の特徴

「歯周病専門医」による
的確な治療
歯周病は、進行度やお口全体の状態によって、治療方針が大きく異なる病気です。
当院では、歯周病治療を専門とする歯科医師が診断・治療を監修し、一人ひとりの状態に合わせた治療方針をご提案しています。
歯周病治療では、「今できること」だけでなく、将来どのような状態を目指すかを見据えた判断が重要になります。
そのため当院では、専門的な知見をもとに、残せる可能性のある歯を安易に抜歯せず、無理のない治療計画を立てることを重視し、長期的にお口の健康を守る歯周病治療を行っています。
セカンドオピニオン対応医院
歯周病について、「このまま治療を続けてよいのか」「抜歯が必要と言われたが、本当にそうなのか」と悩まれている方も少なくありません。
歯周病の診断や治療方針は、お口の状態や医院の考え方によって異なることがあります。
当院では、現在の診断内容や治療計画を一度整理したうえで、考えられる治療の選択肢や今後の見通しについて、分かりやすくご説明することを大切にしています。
必ずしも当院での治療を前提とするものではありませんので、まずは状況を知るためのご相談としてもご利用いただけます。
当院ならではの
歯周病治療について

歯周病の状態や進行度によっては、一般的な治療だけでは改善が難しいケースもあります。
当院では、診査・診断の結果をもとに、患者さまのお口の状態やご希望を踏まえたうえで、必要に応じて以下のような専門的な治療を検討することがあります。
- 歯ぐきの形や見た目を整える歯周形成外科
- 歯ぐきの退縮に対応する歯肉移植
- 失われた骨の回復を目指す歯周組織再生療法 など
これらの治療は、すべての方に必要となるものではありません。
現在の状態や将来の見通しを踏まえ、治療の必要性やタイミングについて十分にご説明したうえで、患者さまにご納得いただいた場合にのみ進めていきます。
当院では、治療内容を一方的に決めるのではなく、選択肢を提示し、患者さまと一緒に治療方針を考えることを大切にしています。
歯周病治療の選択肢について
歯周病治療には、症状や進行度によってさまざまな選択肢があります。
当院では、基本的な歯周病治療を大切にしながら、必要に応じて補助的な治療法を検討することがあります。
以下は、歯周病治療の選択肢の一つとして対応している治療です。
いずれも、すべての方に必要となるものではありません。
診査・診断の結果をもとに、適応がある場合にのみご提案しています。
- インプラント周囲炎に対する歯科用レーザー治療
- 歯周病治療の選択肢の一つとしてのブルーラジカル治療
それぞれの治療内容については、専用ページにて詳しくご紹介しております。
歯周病の症例
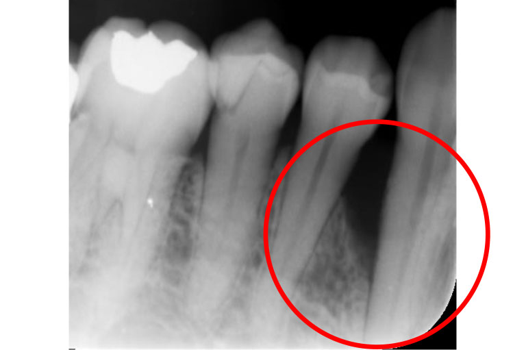
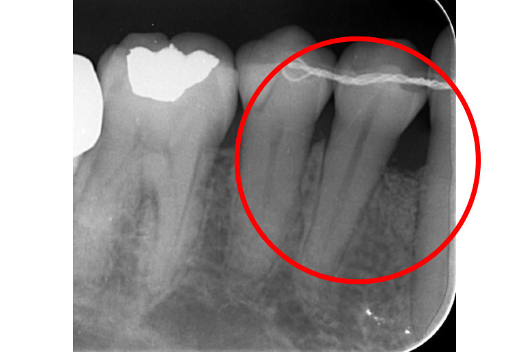
case.1
治療前

治療中

治療後

治療前

治療後

| 治療名 | 歯周組織再生療法 |
| 患者様情報 | 50代 女性 |
| 担当医 | 亀岡 聡貴 先生 |
| 費用 | 15.000円 (税込) 保険内 |
| 主訴 | 右下3番付近の歯茎が 1週間前から腫れている。 |
| 治療期間 | 1年 |
| 治療内容 | 歯周基本治療(SRP、TBI、咬合調整など)+歯周外科治療(再生療法)を行いました。全顎的に歯茎の炎症も落ち着き、レントゲン上でも骨の再生を認められました。 |
| 治療のリスク | 現在の状態の維持のため、継続的にメインテナンスを行う必要があります。 |
歯周病治療について
不安のある方へ

歯周病治療について、「どのような治療が必要なのか分からない」「本当に今すぐ治療が必要なのか不安」と感じている方も少なくありません。
歯周病は、進行の程度やお口全体の状態によって、必要な治療や管理の方法が大きく異なります。
そのため、当院ではいきなり治療を進めるのではなく、まず現在の状態を丁寧に確認し、考えられる治療の選択肢や今後の見通しについて分かりやすくご説明することを大切にしています。
治療を受けるかどうかを含め、ご自身が納得したうえで判断していただけるよう、無理のない進め方をご提案いたします。
歯周病が
気になっている方へ

歯ぐきの腫れや出血、口臭、歯のぐらつきなど、「もしかして歯周病かもしれない」と感じながらも、どこに相談すればよいのか分からず、そのまま様子をみてしまっている方もいらっしゃるかと思います。
歯周病は、早期に状態を把握し、適切な治療と管理を行うことで、進行を抑え、大切な歯を守ることができる病気です。
一方で、初期ほど自覚症状が少なく、気づかないうちに進行してしまうことも少なくありません。
カナザキ歯科では、「今すぐ治療が必要なのか」「どのような管理が必要なのか」といった点も含めて、現在のお口の状態を丁寧に確認し、分かりやすくご説明しています。
歯周病は、症状や進行の度合いによって治療の考え方が大きく異なります。
歯周病の原因や進行の仕方など、基本的な情報を整理して知りたい方は、歯周病について詳しく解説したページをご覧ください。
歯周病について少しでも気になることがある方は、どうぞお気軽にご相談ください。
無理に治療を進めることはありませんので、安心してお越しください。